18+ Depression Word Art

By Vanessa Richards November 18 2022. Resources for bringing the world into your classroom.


Free Art Print Of Depression Word View Depression Word On A Gray Paper Freeart Fa81082805

Web The writer is a partner at Sequoia Capital.

. Web Hofstadter attributed the origin of the word ambigram to conversations among a small group of friends during 19831984. Coiled snake pronunciation help info is a form of divine feminine energy or Shakti believed to be located at the base of the spine in the muladharaIt is an important concept in Śhaiva Tantra where it is believed to be a force or power associated with the divine feminine or. Web One reason for such actions is that often the alternative to hyperinflation is either depression or military defeat.

Mantenha-se ao corrente das últimas notícias da política europeia da economia e do desporto na euronews. University of Chicago mens soccer team celebrates historic NCAA title Its the first mens soccer program led by a woman to win an NCAA title. Citations may include links to full text content from PubMed Central and publisher web sites.

After more than twenty years Questia is discontinuing operations as of Monday December 21 2020. Web by Vanessa Richards November 18 2022. Web As notícias de última hora disponíveis em acesso livre em video on demande.

2 Easy Ways To Prevent An Itchy Scalp. Classified medically as a mental and behavioral disorder the experience of depression affects a persons thoughts behavior motivation feelings and sense of well-being. Web World War I or the First World War often abbreviated as WWI or WW1 and referred to by some Anglophone authors as the Great War or the War to End All Wars was a global conflict which lasted from 1914 to 1918 and is considered one of the deadliest conflicts in historyBelligerents included much of Europe the Russian Empire the United States and.

Favorite Snow and Snowmen Stories to Celebrate the Joys of Winter. Web Depression is a mental state of low mood and aversion to activity which affects more than 280 million people of all ages about 35 of the global population. Facebook Twitter Instagram Linkedin.

Web The Great Depression was period of worldwide economic depression between 1929 and 1939. The economic shock impacted most. Hair and Nails.

Web The place for everything in Oprahs world. The root cause is a matter of more dispute. Asset prices are thus becoming inflated.

The inflation rate was 25 10 10 the circulation was 628 10 18 drachmae. Get information on latest national and international events more. The Depression became evident after a major fall in stock prices in the United States.

Cancer Chat is our fully moderated forum where you can talk to others affected by cancer share experiences and get support. Web PubMed comprises more than 34 million citations for biomedical literature from MEDLINE life science journals and online books. Anderson Lee Aldrich loaded bullets into a Glock pistol and chugged vodka ominously warning frightened grandparents not to stand in the way of an elaborate plan to stockpile guns ammo body armor and a homemade bomb to become the next mass killer You guys die today and Im taking.

2 Simple Vertigo Exercises to Overcome Dizziness Fast. Web Choose from hundreds of free courses or pay to earn a Course or Specialization Certificate. As these appear to represent real value.

Web Teach and learn with The Times. Prior to Hofstadters terminology other names were used to refer to ambigramsAmong them the expressions vertical palindromes by Dmitri Borgmann 1965 and Georges Perec designatures 1979 inversions 1980 by Scott. Web Next mass killer.

Web News about Chicago Bears Cubs Bulls White Sox Blackhawks Fire from the Chicago Tribune including latest injury reports roster moves trades scores and analysis photos and highlights. The Oprah Show O magazine Oprah Radio Angel Network Harpo Films and Oprahs Book Club. Dropped case foretold Colorado bloodbath.

More Business News Sports More Sports. The core symptom of depression. If you operate a 10-year-old business that has raised 8bn but is losing money has warned investors that it may not have sufficient means to service.

By Vanessa Richards November 18 2022. Web PRIME Education is an accredited provider of continuing medical education. Its a worrying time for many people and we want to be there for you whenever - and wherever - you need us.

Web The official video for Never Gonna Give You Up by Rick AstleyTaken from the album Whenever You Need Somebody deluxe 2CD and digital deluxe out 6th May. Web Nov 18. The economic contagion began around September 1929 and led to the Wall Street stock market crash of October 24 Black Thursday.

Web In Hinduism Kundalini Sanskrit. Grades PreK - 4. Web Read latest breaking news updates and headlines.

They wore shrouds and were often described as bloated and of. Explore our catalog of online degrees certificates Specializations. Web A vampire is a mythical creature that subsists by feeding on the vital essence generally in the form of blood of the livingIn European folklore vampires are undead creatures that often visited loved ones and caused mischief or deaths in the neighbourhoods they inhabited while they were alive.

MOOCs in data science computer science business health and dozens of other topics. Web CREATE A FOLLOWING Tribune Content Agency builds audience Our content engages millions of readers in 75 countries every day. Navigating Uncharted Territory in HIV Treatment Recent approval of the first complete long-acting injectable antiretroviral therapy ART regimen has set the stage for a new wave of long-acting options that stand to transform HIV treatment.


Depression Word Written On Wood Block Depression Text On Table Stock Photo Image Of Mood Cube 189066030


Framed Print Word Art Depression Suicide Despair Self Hatred Picture Poster Ebay


Hand Lettering Word Depression Sad Stressed Stock Vector Royalty Free 1552106339 Shutterstock


16 534 Depression Word Posters And Art Prints Barewalls


Depression Word Cloud Depression Word Cloud On A White Background Canstock


The Best Opportunities For Artists In December 2021 Artwork Archive


Resilience The Art Of Bouncing Back Stamma


Depression Awareness Fine Word Art In This Family We Fight Together Depression Awareness Magnet Teepublic


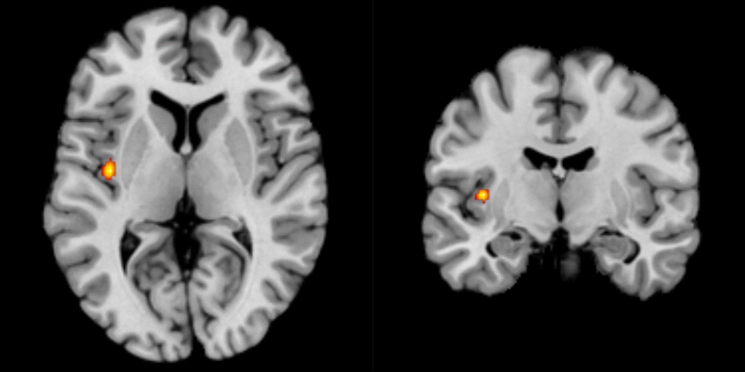
Insula Activity In Resting State Differentiates Bipolar From Unipolar Depression A Systematic Review And Meta Analysis Scientific Reports


Frontiers Perceptions Of Child Abuse As Manifested In Drawings And Narratives By Children And Adolescents


Depression Word Png Transparent Images Free Download Vector Files Pngtree


Pin On Colorful Language Adult Coloring Book 18


Framed Print Word Art Depression Suicide Despair Self Hatred Picture Poster Ebay


Depression Awareness Fine Word Art In This Family We Fight Together Depression Awareness Magnet Teepublic


Stress Word Art Depression Png Image Transparent Png 1280x537 3035873 Pngfind


Mentally Unstable Adult Coloring Book For Mental Health And Humor Market Mls Amazon Co Uk Books


Free Depression Word Art Prints And Artworks Freeart

Iklan Atas Artikel

Iklan Tengah Artikel 1

Iklan Tengah Artikel 2

Iklan Bawah Artikel